Si tratta di una patologia infiammatoria del cavo orale, molto comune, che colpisce i gatti senza apparente predilezione di razza, di sesso o di età. Per descrivere questa malattia, sono stati utilizzati diversi termini, quali stomatite plasmacellulare, stomatite cronica felina. In passato la gengivostomatite cronica felina è stata spesso erroneamente descritta come lesione da complesso del granuloma eosinofilico.
L' eziopatogenesi non è ancora chiara, si suppone che siano agenti causali i batteri della placca sopra-sotto gengivale, alcuni virus (Calicivirus) e stati di immunodeficienza (FIV e/o FeLV). Attualmente si attribuisce alla gengivostomatite cronica un'eziologia multifattoriale e si pensa che le lesioni del cavo orale siano conseguenza della risposta infiammatoria dell'organismo a stimoli persistenti di natura batterica e virale. Va sottolineato a questo proposito che, con l'esclusione di alcuni soggetti immunodepressi, i gatti colpiti da questa condizione patologica mostrano una risposta immunitaria normale, sia umorale che cellulare. Nonostante ciò si ritiene che il sistema immunitario rivesta un ruolo importante, anche se non è ancora stato individuato quale esso sia.
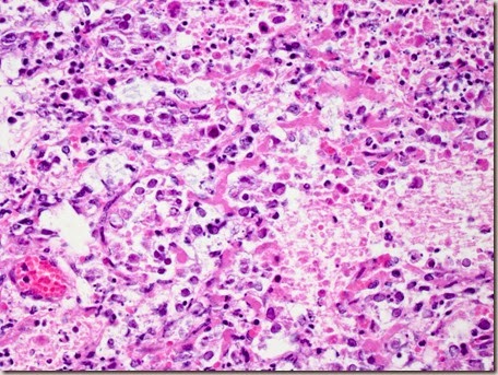
Dal punto di vista istopatologico, è possibile distinguere due tipi di stomatite cronica erosivo-ulcerativa: il primo, caratterizzato da denso infiltrato di linfociti e plasmacellule nella sottomucosa, il secondo, caratterizzato invece da infiammazione cronica attiva, con presenza di neutrofili della mucosa e sottomucosa. Spesso è interessato anche l'osso alveolare, che mostra infiltrato infiammatorio misto ad alterazioni litiche della struttura.
Il quadro clinico riporta i segni di infiammazione acuta, i quali si evidenziano con alitosi, scialorrea, difficoltà alla prensione e/o alla masticazione del cibo, inappetenza o anoressia, e conseguente perdita di peso. Spesso per eseguire l'esame del cavo orale è necessaria la sedazione profonda o l'anestesia generale a causa del forte dolore provocato delle lesioni. Generalmente si possono identificare due aspetti clinici principali, che possono variamente combinarsi tra:
-
Gengivite e stomatite: l'infiammazione coinvolge soprattutto le gengive e la mucosa buccale, e in misura minore le mucose palatolinguali. Soprattutto a livello dei denti premolari e molari, meno frequente è il coinvolgimento della regione degli incisivi e dei canini.
-
Faucite: infiammazione localizzata soprattutto nella porzione distale del cavo orale.
Quasi sempre le lesioni della gengivostomatite cronica felina sono associate alla presenza di placca e tartaro, e di malattia parodontale, con conseguente linfoadenopatia regionale.
La diagnosi è basata sulla valutazione dei segni clinici e dalla sintomatologia, si raccomanda comunque un prelievo bioptico della mucosa e dell'osso alveolare. Per valutare le caratteristiche dell'infiammazione della mucosa può essere sufficiente l'esame citologico. L'esame clinico deve poi essere completato da controlli ematologici, sierologici e infettivi (FIV-FeLV), e da uno studio radiografico completo del cavo orale per accertare l'esistenza di parodontopatie o di frammenti di radici ritenute.
A cura della dott.ssa Noemi Faccoli della Clinica Veterinaria Borgarello.
Se vuoi leggere tutti gli articoli sull’argomento clicca qui.
Se ti è piaciuto l'articolo, iscriviti al feed o alla newsletter per tenerti sempre aggiornato sui nuovi contenuti di TGVET.net.
Lascia un commento per dire la tua o per chiedere informazioni


Nessun commento:
Posta un commento