I mastocitomi (MCT, mast cell tumors) costituiscono uno dei tumori cutanei più comuni nel cane, rappresentando circa il 15-20%, e sono relativamente co

Nel cane sono più comuni in soggetti di media età o anziani (età media 8,5 anni); non sembra esserci predilezione di sesso.
I mastocitomi possono presentarsi come masse dermoepidermiche (neoformazioni superficiali che si muovono con la cute) oppure nel sottocute (per cui la cute sovrastante si muove liberamente sul tumore);

nel 50% dei casi si localizzano a livello di tronco/perineo, nel 40% a livello delle estremità e nel 10% nelle regioni di testa e collo (C.G.Couto, Scivac 2007).

(my-pet-medicine.com) (www.vetinfo.com) (peteducation.com)
Macroscopicamente i mastocitomi possono simulare un gran numero di lesioni cutanee primarie e secondarie quali macule, papule, noduli, croste e tumori; nel cane spesso sono indistinguibili dai lipomi cutanei e, di norma, la diagnosi di mastocitoma non può essere emessa senza l'ausilio della citologia/istologia. Nella forma "tipica", purtroppo di difficile riscontro, i MCT hanno aspetto cupoliforme, alopecico ed eritematoso. Sia nel cane che nel gatto il tumore si presenta in genere come noduli singoli, non capsulati,

Una caratteristica clinica, d'ausilio diagnostico, è il segno di Darrier che consiste nella formazione di pomfi ed eritema in seguito ad una lieve traumatizzazione (raschiato o compressione) del tumore (Couto, 2007).
Alcuni cani vengono portati alla visita per gonfiori diffusi (edema/infiammazione intorno al tumore primario o ad una metastasi), eritemi o lividi nelle aree colpite: questo accade perchè i mastociti producono sostanze bioattive, soprattutto vasoattive.
Nella maggior parte dei cani con MTC l'esame emocromocitometrico completo risulta nella norma oppure si riscontrano alterazioni quali: eosinofilia (talora grave), mastocitemia, basofilia, neutrofilia, trombocitosi e/o anemia (Couto, 2007). L'anomalia più comune nel profilo biochimico è un'iperproteinemia, con picco monoclonale di gamma proteine in alcuni pazienti.
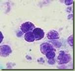
Dal punto di vista istopatologico i MTC vengono suddivisi in 3 categorie: ben differenziato (grado I), moderatamente differenziato (grado II) e scarsamente differenziato (grado III); nel primo gruppo si hanno cluster compatti di cellule neoplastiche confinate al derma e separate da fibre collagene. Nel gruppo II l'infiltrazione neoplastica coinvolge il derma profondo e il sottocute; nell'ultimo, scarsamente differenziato, si hanno aggregati di cellule pleomorfe (forma variabile), con un grado di invasività ancora maggiore.
La citologia segue a grandi linee la stessa classificazione. Nel cane le neoplasie ben differenziate, grado I, presentano cellule con limitata anisocitosi (variazione di dimensione cellulare), anisocariosi (variazione di dimensione dei nuclei) e abbondanti granulazioni citoplasmatiche basofile.


(vet.uga.edu) (en.wikipedia.org) (articolo Evsrl)
Nelle neoplasie di grado intermedio c'è una minor quantità di granulazioni citoplasmatiche, con nuclei che possono manifestare un certo grado di anisocitosi e anisocariosi. Nei MTC di grado III, le granulazioni sono scarse o addirittura assenti ed i nuclei manifestano evidenti atipie; l'indice mitotico (moltiplicazione cellulare) può essere elevato, con mitosi (divisioni cellulari) multipolari. Nei preparati citologici dei MTC, frammisti alle cellule tumorali, possono comparire numerosi eosinofili con percentuale elevata in quelli ben differenziati e scarsa in quelli di grado III. Nei gatti i mastociti neoplastici hanno aspetto istiocitico, con fini granulazioni citoplasmatiche e scarsi eosinofili (Poli, Ciorba, 2007). Per le peculiarità del tumore la diagnosi citologica è spesso definitiva, anche se risulta importante un'indagine istologica per la stadiazione e la valutazione del grado di infiltrazione.
Il comportamento biologico dei MTC nel cane è imprevedibile (Couto, 2007): in generale, però, quelli cutanei, ben isolati e ben differenziati hanno un basso potenziale metastatico e di diffusione sistemica. Il golden standard nella terapia di questi tumori è l'escissione chirurgica ad ampia base. I MTC di grado II e III, invece, risultano a maggior percentuale di metastasi e disseminazione: le metastasi colpiscono in primis il linfonodo drenante l'area di comparsa del tumore e, solo occasionalmente, "saltano"la prima stazione linfonodale per colpire la seconda o addirittura la terza in sequenza. Le metastasi polmonari sono rare; sembra inoltre che il grado di aggressività sia influenzato dalla sede di insorgenza, con un maggior potenziale metastatico in quelli che coinvolgono le parti più distali (punta delle dita), del perineo, dell'inguine e delle aree extra cutanee (intranasali e oro-faringei).
Come detto in precedenza, la chirurgia risulta la terapia d'elezione: è necessaria una rimozione aggressiva, ad ampi margini, poichè i MCT sono caratterizzati da una crescita di tipo infiltrativo, senza alcun contenimento da parte di capsule fibrose. Le attuali raccomandazioni suggeriscono un'asportazione di almeno 3 cm di margine, in tutte le direzioni, ivi compresa la profondità. Nei casi di MCT localizzati a livello delle estremità distali, dove non è possibile la rimozione radicale secondo le linee guida, è talvolta necessario procedere con l'amputazione dell'arto interessato oppure con una chirurgia aggressiva seguita da radioterapia, altra valida opzione terapeutica. Nel gatto il comportamento biologico dell' MCT cutaneo sembra meno aggressivo, si può pertanto procedere con un'escissione di 2 cm di margine, in ogni direzione.

I MCT di grado I, qualora si abbia conferma istopatologica di escissione totale, non richiedono una terapia adiuvante dopo la chirurgia. Nei MCT di grado superiore o metastatizzanti è indicata una seconda chirurgia, la radioterapia e/o la chemioterapia (per lo più palliativa).
La radioterapia è una valida alternativa alla chirurgia, soprattutto se i MCT sono localizzati in sedi poco accessibili oppure nei MCT II- III, quando non sia stata asportata totalmente la massa, viene utilizzata per sterilizzare il focolaio neoplastico residuo ed eventualmente combattere le metastasi al linfonodo regionale.
In linea di massima si utilizzano dosi totali comprese tra 45-60Gy (frazioni da 3-4Gy a giorni alterni o 5 giorni consecutivi a settimana); l'intervallo libero dopo l'irradiazione oscilla tra gli 8 ed i 125 mesi, con una media di 60 mesi.
Ciò che influenza maggiormente la riuscita della radioterapia sono lo stadio clinico, il grado istologico e la localizzazione del tumore (Marconato, Del Piero, 2005): in linea generale si ha una risposta da riservata a eccellente per i MCT di grado I-II, sfavorevole per quelli di grado III. I MCT localizzati alle estremità o di dimensioni ≤3cm rispondono bene.
La chemioterapia è indicata principalmente in caso di recidiva nello stesso sito, con tumori multipli, margini chirurgici "sporchi" a causa di MCT II-III , localizzazioni "maligne" (area inguinale/perianale, prepuzio, ghiandola mammaria, dita, cavo orale), presenza di neoplasia inoperabile, coinvolgimento linfonodale o malattia metastatica a distanza.
Il prednisone è il farmaco più utilizzato nel trattamento del MCT canino, ma la remissione ottenuta è piuttosto breve e parziale (circa il 20% di risposta). Per tale ragione nel protocollo si ricorre spesso all'aggiunta di farmaci in monochemioterapia come: vincristina, vinblastina, lomustina, clorambucile, ciclofosfamide e doxorubicina che possono prolungare la durata della remissione fino a 3-9 mesi.
La polichemioterapia (associazione di diversi chemioterapici) sembrerebbe dare risultati ancora migliori, anche se la risposta individuale rimane alquanto variabile ed imprevedibile. Esempi tipici sono: prednisone+ciclofosfamide+vinblastina con risposta del 78% nei cani con MTC metastatico per circa 150gg; ed ancora vinblastina+lomustina+prednisone, soprattutto contro MCT ad escissione incompleta e di grado III. Bisogna comunque ricordare che la maggior parte dei cani esprime il gene di farmacoresistenza multipla e che diviene perciò resistente alla maggior parte dei trattamenti.
Nel gatto i corticosteroidi per via sistemica giocano un ruolo centrale nella terapia del MCT cutaneo ed il triamcinolone topico ha dato qualche buon risultato; pur non essendoci studi in merito all'efficacia della chemioterapia in questa specie, l'associazione vinblastina+lomustina lascia ben sperare.
Bisogna comunque ricordare che la chemioterapia, nei casi di tumori metastatizzanti e maggiormente aggressivi, è un approccio palliativo e non risolutivo.
L'improvvisa degranulazione del tumore indica il più delle volte la progressione del MCT ed è caratterizzato da edema intenso, calore e rossore della parte. Il paziente dev'essere sottoposto a fluidoterapia endovenosa; è inoltre indicata la somministrazione di antistaminici e, in caso di edema imponente, del diuretico. In questa fase bisogna interrompere la chemioterapia.
La prognosi nei soggetti con MCT va da buona a riservata: il grado istologico è un importante indicatore prognostico nel cane, mentre nel gatto la stadiazione e lo schema istopatologico sono poco correlati al comportamento biologico. Anche la presentazione clinica è un buon fattore prognostico: le lesioni singole, isolate, non coinvolgenti stazioni linfonodali normalmente hanno una prognosi più favorevole, mentre le neoplasie metastatizzanti i linfonodi sono da considerarsi aggressive ed infauste. Si può infine annoverare tra i fattori prognostici la sede di insorgenza: i MCT periprepuziale, subungueale, perianale, inguinale, viscerale e midollare hanno normalmente prognosi infausta.
A cura della dott. ssa Martina Chiapasco
Nessun commento:
Posta un commento